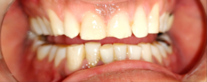
Full Mouth Rehabilitation is often explored by patients who are dealing with more than just one dental problem. Worn or broken teeth, missing teeth, difficulty chewing, jaw pain, or repeated dental work that doesn’t last are common reasons patients consider full mouth rehabilitation in India.
What exactly is Full Mouth Rehabilitation?
Full Mouth Rehabilitation (FMR) is a comprehensive dental treatment approach that restores the function, comfort, and aesthetics of the entire mouth. It is not a single procedure, but a carefully planned combination of treatments such as bite correction and balancing, management of jaw joint (TMJ/TMD) issues, sometimes orthodontics, dental crowns or onlays, bridges, implants, and aesthetic corrections like veneers.
All treatments are planned around how the jaw, teeth, and muscles work together. Unlike cosmetic dentistry alone, full mouth rehabilitation focuses first on bite stability, chewing efficiency, and jaw health, and only then on improving the smile.
This comprehensive, function-first approach is also recognised by the American Dental Association, which describes full-mouth rehabilitation as coordinated care for patients with complex or multiple dental problems, rather than treating teeth in isolation.

Who really needs Full Mouth Rehabilitation?
You may be a candidate if you have:
- Multiple missing or severely worn teeth
- Old crowns or bridges that keep failing
- Difficulty chewing or frequent tooth fractures
- Jaw pain, headaches, or bite imbalance
- Long-standing dental problems treated only “tooth by tooth”
Many patients—especially those travelling to India for dental treatment—choose FMR because it offers a long-term solution, not temporary fixes.
Can Full Mouth Rehabilitation Be Done in Stages?

This is one of the most commonly searched questions.
No, it does not always have to be done in one go.
In many cases, treatment can be done in stages, depending on your dental condition, time availability, budget and comfort. A phased approach allows stabilizing the bite first and completing treatment over time—without compromising results.
For patients with complex bite and tooth problems, full mouth rehabilitation offers a structured, long-term solution rather than repeated isolated treatments.
In summary
Is Full Mouth Rehabilitation Right for You?
Full mouth rehabilitation is not about doing everything at once.
It’s about doing the right things, in the right sequence, for long-lasting comfort, function and confidence.
At Cuspid Dental, our approach to diagnosis-led dentistry in Surat focuses on long-term function rather than quick cosmetic fixes.
About the Author
Dr. Manisha Agrawal is a dentist with a special interest in function-first dentistry, bite correction and full mouth rehabilitation. She focuses on understanding how the jaw joints, teeth and muscles work together, rather than treating dental problems in isolation.
At Cuspid Dental, Dr. Agrawal follows a conservative, personalised approach to complex dental care—prioritising diagnosis, planning and long-term stability before aesthetics. Her work often involves managing worn teeth, failed dental work, jaw discomfort and bite-related issues through carefully phased treatment plans.
She believes that full mouth rehabilitation should never be rushed or standardized and that every patient deserves a solution tailored to their function, comfort and long-term oral health.
© Cuspid Dental. All rights reserved.